Columbia Biosciences 30年来致力于开发和生产荧光蛋白,标记抗体和新型蛋白质纯化配体。此外,我们全面的定制服务包括抗体标记、蛋白质纯化和发现服务,例如用于肿瘤学和免疫学临床前药物开发的基于功能性细胞的检测。
Columbia Biosciences产品线分类:
SureLight系列荧光染料:488, APC, PerCP, BPE, PE-594, PE-CY5, PE-Cy5.5, PE-Cy7, PerCP-Cy5.5, RPC, RPE
一抗:6His, C-MYC, GST, HA, V5, T7,Flag, DDDDK, S Tag, EP2, EP4, AP, HRP
二抗:抗鸡,抗山羊,抗人,抗小鼠,抗大鼠,抗兔,抗羊驼
同型对照:小鼠IgG1,小鼠IgG2A,兔IgG
链霉亲和素偶联物:酶,荧光,镧系元素Eu偶联物, Streptavidin: Eu-W1024
生物素偶联物:Biotin偶联的二抗
试剂盒:FRET(荧光共振能量转移)试剂盒,偶联标记试剂盒,细胞活力试剂盒
作为Columbia Biosciences全国总代理,环球ug登录科技强烈推荐Columbia Biosciences热销产品小鼠抗6His IgG:未偶联;100ug。产品仅用于科研,不可用于临床诊断。
| 产品名称 | 货号 | 详情 |
| 小鼠抗6His IgG:未偶联;100ug | COB-00-1711-100ug | 查看 |
小鼠抗6His IgG:未偶联;100ug详情:
克隆:AD1.1.10
反应性:多组氨酸标记蛋白(N-或C-末端标记)
免疫原:聚组氨酸(HHHHHHH)标记的多肽
稀释度:蛋白质印迹分析:1:500-1:1000;IHC: 1:250-750
形式/存储:5mg/ml 在 100 mM 磷酸钠 (pH 7.4)、150 mM 氯化钠、0.1% BSA 作为稳定剂和 0.05% 叠氮化钠中
稳定性:保持在+2-8℃ 12个月。稳定1年。避免反复冻融循环。
小鼠抗6His IgG:未偶联;100ug技术信息:

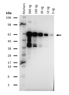
图:His标记蛋白的蛋白质印迹检测每个泳道含有指示量的60kda 6xhis标记蛋白。将印迹与0.5μg/ml未偶联的兔抗6xhis igg(猫号00-1711-250)孵育过夜;洗涤三次,然后用40ng/ml山羊抗小鼠HRP缀合物(cat#f HRP-112)染色。使用WestPico化学发光基质对印迹进行成像
Columbia Biosciences 由一支经验丰富的免疫学家、生物学家和化学家组成,他们拥有超过 30 年的行业经验,他们以接受挑战而自豪——寻找问题的解决方案。我们的专长在于培养藻类、提取和纯化染料以及将这些和其他荧光团与抗体结合。作为Columbia Biosciences在中国的区域总代理,环球ug登录科技有限公司将为中国客户提供Columbia Biosciences优质的产品与服务。

微信扫码在线客服